Toxoplasma gondii es un parásito intracelular obligado que es causante de la toxoplasmosis.
Para entender un poco como se contagia el hombre, es muy importante
entender su ciclo biológico. Toxoplasma gondii (TG) tiene dos
hospedadores: el hospedador definitivo que siempre son los felinos y el
hospedador intermediario que son mamíferos (incluído el hombre) y aves.
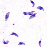
El parásito se presenta bajo tres formas distintas: taquizoítos, los
quistes tisulares (con bradizoítos) y los ooquistes (con esporozoítos).
El ciclo comienza cuando un felino ingiere quistes u ooquistes. En
cualquiera de los dos casos, se formarán taquizoitos (fase asexual).
El camino para llegar a estos taquizoitos es el siguiente:
-En quistes: Se liberan bradizoitos----> Los bradizoitos invaden las
células epiteliales del intestino y se dividen----> Pasado un tiempo
se diferencian en taquizoitos que se distribuyen por el organismo.
-En ooquistes: Se liberan esporozoítos----> Se diferencian
directamente en taquizoítos que se distribuyen por el organismo.
Después de este ciclo asexual, se formará a continuación un ciclo sexual
en el felino (¡y solamente en el felino!), con la formación de
gametocitos.
Estos gametocitos forman ooquistes que se eliminan en las heces del
felino y se vuelven infecciosos cuando se lleva a cabo la esporulación.
La duración de este proceso por lo general tarda 2-3 días después de la
excreción. Es decir, tardan 3 días en hacerse infecciosos.
Por debajo de 4 °C, o por encima de 37 °C, no se produce la esporulación y los quistes no son infecciosos. Además, estos quistes se vuelven no viables por calentamiento a 67 ° C, por congelación a -20 ° C o por radiación gamma.
Los seres humanos pueden ser infectados con TG por ingestión o
manipulación de carne mal cocida o cruda (sobre todo carne de cerdo y
cordero) que contiene quistes en los tejidos y consumir agua o alimentos
que contienen ooquistes excretados en las heces de gatos infectados.
En el hombre, los taquizoitos se distribuyen por todo el organismo,
infectando células, hasta que la célula muere y se liberan más
taquizoitos. Pasado un tiempo (generalmente en la primera semana de la
infección) se forman quistes tisulares en múltiples órganos y tejidos.
Esta forma del parásito es responsable de la infección residual o
latente y persiste en cerebro, músculo y ojo principalmente. Es muy
importante en inmunodeprimidos, ya que esta reactivación puede producir
una gran diseminación por el organismo produciendo incluso una toxoplasmosis en el sistema nervioso central.
-Epidemiología: La infección por TG en el ser humano y en los animales se encuentra ampliamente distribuida. Se estima que el 60% de la población humana mundial presenta títulos de anticuerpos contra TG.




No hay comentarios:
Publicar un comentario